Von Beginn der Trächtigkeit an werden die Mahlzeiten vielfältiger angeboten.
Sie bekommt zum erstklassischen Rindfleisch-Innereien-Gemüse Mix oder Rindfleisch-Pansen-Gemüse Mix der Firma Beutezeit.com aus Plauen
Von Beginn der Trächtigkeit an werden die Mahlzeiten vielfältiger angeboten.
Sie bekommt zum erstklassischen Rindfleisch-Innereien-Gemüse Mix oder Rindfleisch-Pansen-Gemüse Mix der Firma Beutezeit.com aus Plauen
Tag 39. Langsam nimmt ihr Körper die entsprechenden Formen an - 4 Kilo Gewichtszunahme sind nicht zu übersehen. Uns geht es super, wir genießen ruhige Spaziergänge und die Vorbereitungen für die Neuankömmlinge gehen in die Endrunde.
Tag 30. Bashira genießt die Ruhe und die ersten warmen Sonnenstrahlen. Sie ist viel ruhiger geworden und wechselt nun häufiger den Schlafplatz. Ihre Anhänglichkeit und der ausbleibende Spieltrieb verraten, dass sie sich auf die neue Lebenssituation einstellt.
Tag 33. Der Hüftumfang unserer werdenden Mama nimmt nun fast täglich zu. Er beträgt heute 64 cm, letzte Woche betrug er noch 60 cm. Die Kleinen wiegen nun ungefähr 6 g und sind ca. 4,5 cm groß, die Organe sind vollständig ausgebildet.
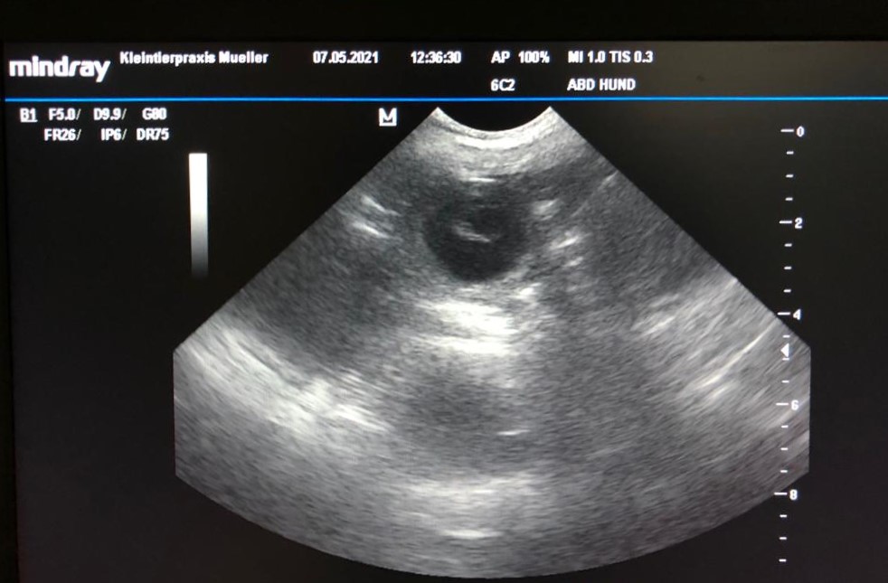
Tag 26. Nun ist es sicher, die Aufnahmen der Ultraschalluntersuchung vom 07.05.2021 sind eindeutig. Bashira ist trächtig, hurra wir freuen uns riesig und hoffen nun, dass alles gut verläuft. Wir erwarten unsere kleinen Fellnasen um den 13.06.2021.
Liebe Grüße aus dem Kennel Rambasi Home.